史记泰州

 找回密码
 立即注册

微信登录

微信扫一扫,快速登录

搜索
热搜: 活动 交友 discuz
查看: 6301|回复: 0

AI三维重建+单孔胸腔镜,微创精准切除,让肺小结节无处可逃

[复制链接]

800

主题

-5

回帖

6749

积分

论坛元老

Rank: 8Rank: 8

积分
6749
发表于 2024-9-30 17:43:13 | 显示全部楼层 |阅读模式

肺癌是我国发病率第一的恶性肿瘤

严重威胁人们的健康

当查出“肺小结节”

很多人可能会变得忧心忡忡

如果再因“肺小结节”需要切除肺叶

更会陷于恐惧之中......

174228s5ulljmajmllbdcc.png

别慌!!!

泰州市中医院

AI三维重建+单孔胸腔镜微创精准肺段切除技术

实现肺小结节切准、切少、切好



一个月前,52岁的老李体检时发现右下肺有了一个直径约2厘米的结节,经初步评估,考虑肺癌的可能性较大。这个消息如同晴天霹雳,让老李一时之间难以接受,夜不能寐,食不知味,心神不宁。他四处求医,希望能找到最佳的治疗方案,最终在家人的陪伴下来到我院胸外科。

174228klazxh9k3fkwrafn.png


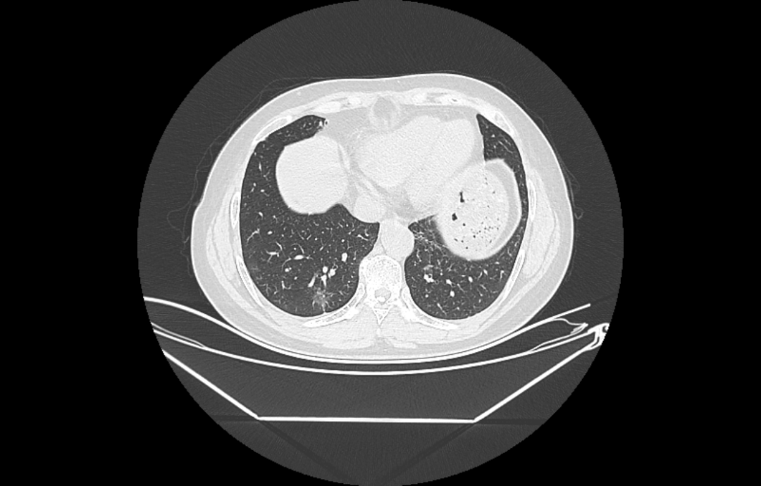
接诊的胸外科主任黄永高认真查看了老李的影像资料:病灶在右下肺后外基底段(S9+S10),直径约2cm,毛玻璃成分为主。考虑到老李的情况,黄主任决定采取右下肺后外基底段切除术,以最大限度地保留患者的肺功能,避免进行整个肺叶的切除。但由于S9+S10段的解剖结构复杂,变异较多,为了确保手术的精准与安全,黄主任决定利用先进的肺小结节AI(人工智能)三维重建技术进行术前规划。

174229zgq62y2kjukvkr6l.png
174229spzbztjwnrqwhih9.png
174229up4e3nyden0e48p6.png

(术前模拟,术前手术规划)


在AI技术的辅助下,胸外科手术团队得以清晰地看到病灶的三维结构,以及周围血管、神经的精确分布。这不仅大大提高了手术的精确度,还使得手术过程更加顺畅,减少了不必要的创伤。

手术当天,黄主任带领团队迅速而准确地完成了手术。整个过程耗时极短,对患者的身体影响降到了最低。

术后,老李在医护人员的精心照料下,恢复迅速。仅仅一周,他便康复出院。而术后的病理检查结果也证实了之前的诊断——肺腺癌,但由于治疗及时,病情得到了有效控制。


174229strz3mi0k2zzzi2c.jpeg


术后老李很感慨:“手术前我还很害怕,毕竟这是在我的身体里做手术,反正有蛮多顾虑的。没想到手术这么顺利,我也只留下这么一个小小的伤口,泰州市中医院胸外科医护团队真的很棒!”

174229hlq3w0qwkscfb2bl.gif



泰州市中医院胸外科于2017年在泰州市内率先开展肺小结节AI三维重建技术+胸腔镜微创手术。目前,我院胸外科团队对于各类肺部手术能够做到常规进行单孔胸腔镜微创手术。

遇到复杂肺段切除病例术前进行AI三维重建,AI三维重建能够精准重建了患者的肺部模型、肺结节三维详细分布图,制定术前规划及手术方案。通过三维重建技术建立肺部模型,明确肺结节的详细位置及与周围动脉静脉、支气管之间的关系,精准规划了手术路径及切除范围,就像开车安装了GPS导航一样,使手术思路特别清晰,能够最大限度地保留患者肺功能,提高手术的安全性、精确性,缩短手术时间,再加上单孔胸腔镜技术,真正实现了胸外技术的“微中再微”。

单孔胸腔镜微创手术+AI(人工智能)三维重建技术,使肺结节患者可得到精准、超微创手术处理,快速康复。


专家介绍




174230ls8mwy8tkvd67wsv.png

黄永高

泰州市中医院胸外科主任、医学硕士、主任医师,江苏省中西医结合外科专业委员会委员,江苏省整合医学食管癌专业委员会委员,江苏省抗癌协会委员。擅长单孔胸腔镜下肺癌、肺段切除术,胸腔镜下食管癌根治术、胸腔镜下纵隔肿瘤切除等微创手术和复杂中央型肺癌、血管支气管成形术,肺上沟瘤等复杂高难度手术。







回复

使用道具 举报

您需要登录后才可以回帖 登录 | 立即注册 微信登录

本版积分规则

Archiver|手机版|小黑屋|史记泰州

GMT+8, 2026-4-19 00:59 , Processed in 0.076078 second(s), 26 queries .

Powered by Discuz! X3.4

© 2001-2023 Discuz! Team.

快速回复 返回顶部 返回列表